
胚盤胞移植での妊娠です。 胎嚢は5.7mmでした。少し小さめで不安ですが、この子を信じます!
妊娠2回目。 前回は流産しました。 ちゃんとお腹にいるかな、、と不安でしたが 大丈夫ですよって言われてすごく嬉しかった!
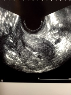
胎嚢確認できて嬉しい–♪
8.9㎜でした
4w0dで不妊治療の病院受診。(丁度お休み周期の自然妊娠)陽性反応と血液検査で妊娠確定。5w0d11ミリの胎嚢確認で正常妊娠を確認しました。心拍が確認できたら卒業予定です。
最初遊び半分で妊娠検査薬したら 薄っすら陽性反応で まさかとおもって翌日病院に行っても 薄っすら陽性反応がでて 最初ゎ信じてなかったけど 2週間後にまた来てくださいと言われ 行ったら赤ちゃんがいたので ほんとに嬉しかったです(*´∀`*)
病院に行ってきました(*´ω`*) 妊娠検査薬が薄くて不安だったけど 順調そうでよかったです!
5週ですが既に22.6mmです!(大きい!) 先生からは9週くらいの大きさだね~気持ち大きめだね~ なんて言われましたが、順調のようで嬉しい!
初診エコーで赤ちゃん見れました(*^_^*) 嬉しくてたまらないです!☆ 次は二週間後! 元気にすくすく育ってね(´▽`)ノ
初診!初めて赤ちゃんで、エコー見てこれがあかちゃんの部屋かぁー思ぉた(^^)あんま実感せんかったけど、これからの成長が楽しみ♪はやく赤ちゃんの姿が見たいー(>ω<)
排卵日がずれていたのか生理予定日の一週間後に病院にいったけどなにも見えずさらに一週間たった今日行ったらちゃんと見えてました!初めてのベビちゃん無事に育ってくれますように。









